Vol. 12 No. 7 (2025)

Report

Galactose-1-phosphate modulates mitochondrial function and Toll-like receptor 2 expression in neonatal skin fibroblast cultures

7537-7546 2025-07-31

Gursev S Dhaunsi, Wafa’a Alqabandi, Hind Alsharhan, Majeda Hammoud

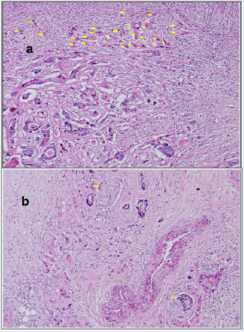
Revealing the Role of Tumor Budding in Predicting Survival in Colorectal Adenocarcinoma

7547-7558 2025-07-31

Dao Thi Luan, Nguyen Van Hung, Tran Ngoc Minh, Nguyen Kim Dong, Do Thi Yen, Nguyen Thi Quynh, Nguyen Van Chu

Review

Recent Advancement, Mechanisms of Action and Applications of Tumor-Targeting Peptides

7602-7620 2025-07-31

Zaroon, Usama Mustafa, Hafsa, Shakira Aslam, Hamid Bashir

Cancer cell dormancy: An update to 2025

7559-7575 2025-07-31

Bui Dinh Khan, Nguyen Thi Yen Nhi, Tran Ngo The Nhan, Pham Duy Khuong

Unveiling COVID-19: Exploring Associated Comorbidities and Diagnostic Innovation

7576-7601 2025-07-31

Jaya Gandhi, Nidhi Shree, Samiksha Sharma, Preeti Verma, Suresh Thakur, Yamini Agrawal, Isha Gunwal, Upasana Yadav, Aarti Yadav

Original Research

Case report

Anti-N-methyl-D-aspartate receptor encephalitis in a female with ovarian tumor: A case report in Viet Nam

7523-7528 2025-07-31

Thuy-Mai Thi Huynh, Ngoc-Trinh Thi Nguyen, Anh-Thu Thi Nguyen, Khanh-Trang Nguyen Huynh, Diem-Tuyet Thi Hoang, Viet Thanh Nguyen, Ngoc-Khanh Thi Do, Hung Quoc Le