Vol. 12 No. 9 (2025)

Review

Amyloid Beta and Tau Aggregation: The Etiology and Potential Pharmaceutical Approaches for Alzheimer’s Disease

7708-7722 2025-09-30

Pushpendra Soni, Syed Misbahul Hasan, Shom Prakash Kushwaha, Kuldeep Singh, Arun Kumar, Abdul Hafeez, Suvaiv, Samman, Salman Khan

Original Research

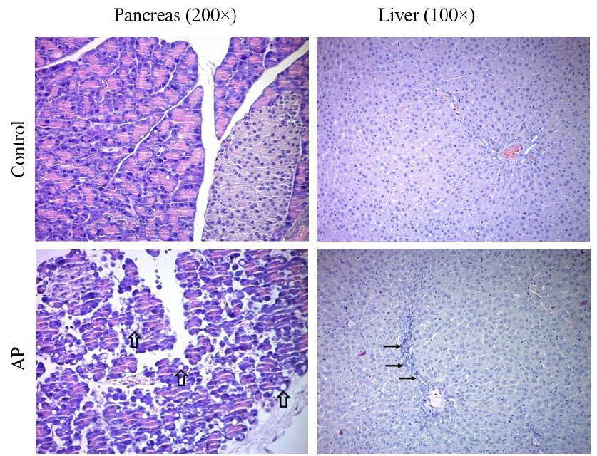
The effect of cannabinoids on liver injury associated with acute pancreatitis

7754-7763 2025-09-30

Dilara Yıldırım, Yusuf Elma, Seyde Nur Ucar, Banu Dogan Gun, Mustafa Cagatay Buyukuysal, Emine Yılmaz Can

An assessment of the performance and effectiveness of collagenase types in quality improvement of small extracellular vesicles from human adipose-derived stromal vascular fraction for precision medicine applications

7742-7753 2025-09-30

Vani Murthy Halahalli Srinivasa, Nikhil S Shetty, Mohana Kumar B, Prakash Patil, Dinesh Upadhya, Namita N Kashyap, A Veena Shetty